当前位置:肿瘤瞭望>百家>病例>正文

例例在望 | PD-L1突然入局是“神来之笔”还是“迷魂阵”——RET基因融合伴PD-L1高表达的肺腺癌病例分享

作者:肿瘤瞭望   日期:2025/4/7 17:47:07  浏览量:16757

肿瘤瞭望版权所有,谢绝任何形式转载,侵犯版权者必予法律追究。

本文报道2例RET基因融合伴PD-L1高表达的晚期肺腺癌一线应用选择性RET抑制剂治疗的病例,旨在探讨PD-L1高表达对RET融合阳性患者治疗的影响。

刘文静,马锐丨辽宁省肿瘤医院胸内二科
 
2012年RET基因重排被定义为非小细胞肺癌的驱动因素之一。RET基因重排在肺腺癌的发生率为1%-2%主要包括RET基因融合(KIF5B exon15-RET exon12融合,CCDC6-RET融合,TRIM33-RET融合,NCOA4-RET融合),RET基因突变等。RET基因融合的非小细胞肺癌临床特点多为不吸烟(或少吸烟)、较年轻(<60岁)的患者。ARROW和LIBRETTO-431研究评估了选择性RET抑制剂普拉塞替尼和塞普替尼在晚期非小细胞肺癌的疗效,两种抑制剂的客观有效率均达60%以上。I/II期临床研究ARROW显示在既往接受治疗的RET融合阳性非小细胞肺癌患者,接受普拉提尼治疗的中位PFS为16.6个月,中位OS达44.3个月。III期研究LIBRETTO-431揭示了赛普替尼一线治疗PFS为24.8个月,较化疗联合免疫组显著延长13.6个月,进一步明确了靶向治疗作为RET融合阳性的非小细胞肺癌标准治疗的一线推荐,改写了RET融合阳性晚期非小细胞肺癌的治疗指南。
 
PD-L1表达可改变存在基因突变的非小细胞肺癌患者的生存预后。研究发现,EGFR突变阳性的肺腺癌,若其携带PD-L1高表达,接受靶向治疗时获益有限。而对于KRAS突变的非小细胞肺癌患者,若伴有PD-L1高表达,免疫治疗带来的获益则更为显著。那么,PD-L1表达对RET基因融合患者的治疗会产生怎样的影响呢?
 
本文报道2例RET基因融合伴PD-L1高表达的晚期肺腺癌一线应用选择性RET抑制剂治疗的病例,旨在探讨PD-L1高表达对RET融合阳性患者治疗的影响。
 
马锐教授
辽宁省肿瘤医院胸内二科主任,肿瘤学博士
中国医科大学、大连医科大学硕士研究生导师
学术兼职:中国临床肿瘤学会理事会理事,中国老年学学会老年肿瘤专业委员执行委员,中国老年学学会老年肿瘤专业委员肺癌分委会常务委员,中国医药教育协会肺部肿瘤专委会常务委员,辽宁省生命科学学会常务理事,中国抗癌协会肺癌专业委员会委员,辽宁省抗癌协会理事会理事,辽宁省生命科学学会肺癌专业委员会主任委员,辽宁省抗癌协会肿瘤转移专业委员会主任委员,辽宁省抗癌协会肿瘤标志物专业委员会副主任委员,辽宁省医学会内科学分会委员会常务委员,辽宁省生命科学学会老年肿瘤专业委员会常务委员
中国肿瘤生物治疗杂志、中国实用内科、医学与哲学,沈阳医学院学报等多家杂志编委及审稿专家。主持省部级、市级课题9项,获辽宁省科技进步三等奖2项、沈阳市科技进步二等奖1项,第一及通讯作者发表论文40余篇。
 
刘文静
医学博士,主任医师,中国医科大学硕士研究生导师
社会兼职:中国中医药信息学会中西医外科智能诊疗分会常务理事,中国医药教育协会中医药慢病防治工程委员会委员,辽宁省免疫学会肿瘤营养与免疫分会委员,北京医学奖励基金会肺癌医学青年专家委员会委员,辽宁省中西医结合学会盆底康复专业委员会委员,沈阳市劳动能力鉴定委员会专家
参与国家自然基金1项,主持省级、市级课题3项,发表I区等SCI及核心期刊论文8篇。
获ESMO ASIA 2018青年旅行基金,2017年良医汇“35under35最具潜力青年肿瘤医生”全国100强。
 
病例1
 
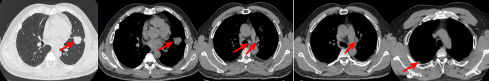
53岁男性,无吸烟饮酒史,脑血栓病史。2024年7月胸部CT:右肺下叶见一团块状软组织密度影,范围约10.8×9.0cm,边界不清,周围并见斑片状磨玻璃密度影,右肺下叶前底段支气管阻塞。纵隔及右肺门见肿大淋巴结影。考虑右肺下叶支气管肺癌。伴纵隔及右肺门淋巴结转移瘤,右下肺静脉瘤栓。2024.7.23行肺穿刺取病理:(肺)腺癌伴有神经内分泌分化。NGS基因检测:RET KIF5B exon15-RET exon12融合。PD-L1(克隆号28-8)TPS=90%。
 
临床诊断:右肺下叶恶性肿瘤cT4N2aM1a IVA期,肺门淋巴结继发恶性肿瘤,纵隔淋巴结继发恶性肿瘤,胸腔积液,大脑中动脉取栓术后。
 
治疗经过:2024.08开始口服赛普替尼(160mg,bid)。2024.09复查胸CT评效PR。2025.1复查胸CT:右肺下叶外基底段见一不规则形实性肿块,大小约94mm×87mm,边缘呈分叶状,其内密度不匀。右侧胸腔见少许水样密度影。评效PD,PFS=5个月。患者未同意再次组织活检,目前应用卡博替尼治疗,仍在随访中。治疗期间未出现毒性反应。
 
2024.08
 
2024.09评效PR
 
2025.01评效PD
 
病例2
 
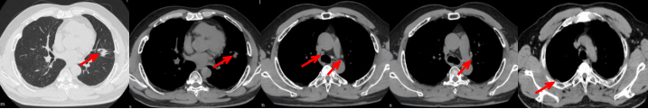
55岁男性,无吸烟史,有饮酒嗜好。2024年11月常规体检胸CT:左肺上叶占位性病变,大小约2.7×2.4cm,恶性可能大;左肺、左侧叶间胸膜及胸膜下多发微小结节,转移待除外。左侧胸腔积液,部分骨质改变。2024年12月初肺穿刺活检,病理:(肺)腺癌。NGS基因检测:CCDC6-RET(exon1-exon12)融合突变阳性(丰度:13.21%)。PD-L1表达阳性(TPS=35%,CPS=45)。
 
临床诊断:左肺上叶恶性肿瘤cT1cN2bM1a IVA期,肺门继发恶性肿瘤,纵隔继发恶性肿瘤,胸膜继发恶性肿瘤,胸腔积液。
 
治疗经过:2025.01开始口服普拉替尼(400mg,qd)。2025.03复查胸CT:左肺上叶、右肺上叶、左肺斜裂见多发实性结节影,长径范围约3-17mm,较大者大小约17mm×12mm,位于左肺上叶下舌段,可见分叶、毛刺、胸膜凹陷、棘状突起征象。纵隔内小淋巴结。评效PR,随访中。治疗期间未出现毒性反应。
 
2024.12
 
2025.03评效PR
 
病例讨论
 
普拉替尼和塞普替尼均是新一代RET靶点选择性抑制剂,两者均能有效抑制RETV804L/M耐药突变体。相对于卡博替尼、凡德他尼等多靶点抑制剂,普拉替尼和塞普替尼对RET基因融合具有更高的选择性。本文分享的两个病例,均为RET融合突变伴PD-L1高表达的晚期肺腺癌患者一线应用选择性RET-TKIs且均快速起效,其中一例治疗有效持续时间仅5个月,另一例处于随访状态。
 
对于RET融合阳性的NSCLC患者,一线选择RET-TKIs毋庸置疑。但是,同时伴有PD-L1高表达者,治疗又将何去何从?PD-L1是否成为RET-TKIs治疗路上的“绊脚石”?目前发现的选择性RET酪氨酸激酶抑制剂(TKIs)的耐药机制包括RETV804L/M突变体、RET G810R溶剂前沿突变体、RETG810C/S/R突变,RETG810C突变。此外,PTEN缺失性功能异常、PIK3CA突变、KRAS突变、BRAF突变、MET扩增等也参与了RET-TKIs耐药。然而,PD-L1高表达对RET-TKIs疗效的影响及其机制尚不清楚。回顾既往研究,EGFR敏感突变并伴随PD-L1高表达时,靶向治疗获益有限,且预后可能更差。PD-L1高表达已经成为EGFR敏感突变的非小细胞肺癌靶向治疗耐药的机制之一。机制研究发现,PI3C信号通路突变(PI3CA和PTEN突变)的存在可能导致这组患者对EGFR-TKIs产生原发耐药。此外,PD-L1/BAG-1信号通路可通过上调TGF-Smad通路及YAP1表达,持续激活细胞外调节的ERK通路,诱导EGFR-TKIs耐药。因此,我们推测PD-L1可能通过耐药相关的信号通路影响RET-TKIs敏感性。
 
研究报道,13%-50%RET基因融合的患者可同时存在PD-L1高表达。RET基因融合伴PD-L1高表达的患者,能否获益于免疫治疗?Hegde等收集了70例RET阳性的恶性肿瘤患者,其中非小细胞肺癌29例(41%)。共18例患者经免疫组确认了PD-L1表达状态,15例为非小细胞肺癌。18例患者中,4例(22.2%)PD-L1表达强阳性(≥50%),4例(22.2%)PD-L1中度表达(1%~49%),10例(55.6%)PD-L1无表达(<1%)。15例非小细胞肺癌中,8例(53.3%)PD-L1表达强阳性或中度表达,7例(46.7%)PD-L1无表达。18例患者中,3例PD-L1强阳性患者接受了免疫治疗,2例因疾病进展治疗持续时间不到2个月,另1例因免疫联合化疗的毒性反应,于治疗后0.7个月停止治疗。1例PD-L1中度表达的患者接受了免疫联合化疗,分析时已经治疗了1.4个月,疾病尚无进展。Michael等收集了74例RET基因重排的肺癌患者,26例确认了PD-L1表达状态。6例(23%)PD-L1表达在1%~49%,5例(19%)PD-L1表达为50%或更高。PD-L1表达为50%和30%的患者接受免疫治疗,无进展生存时间仅为1.3个月、2.5个月。同样,高TMB患者(5.27和3.51个突变/Mb)接受免疫治疗后,PFS仅为3.1和1.3个月。从这些小样本研究可以看出,RET基因融合伴PD-L1高表达的患者接受免疫治疗的疗效并不理想。这种免疫治疗的低应答率可能包含以下原因。首先,驱动基因突变的肿瘤中,PD-L1表达并非与PD-L1/PD-L1抑制剂的疗效相关。肿瘤细胞PD-L1高表达可能反映了细胞通过PD-L1途径被激活导致靶向治疗的耐药,而不是免疫反应的标志。其次,单一驱动基因突变的肺癌免疫微环境被视为“cold,non-inflamed”,肿瘤组织内缺少免疫细胞浸润或炎症迹象。也就是说,PD-L1高表达很少伴随高水平CD8+肿瘤浸润淋巴细胞,而后者被认为是PD-L1/PD-L1抑制剂的主要效应产物。
 
结论
 
新一代RET选择性抑制剂是RET基因融合突变的一线优选。RET融合阳性且伴PD-L1高表达的晚期非小细胞肺癌患者,依据指南推荐,我们选择了“有靶打靶”的治疗原则,两例患者均快速起效,但其中一例出现了短期耐药。研究表明,PD-L1“突然入局”似乎并未给RET基因融合阳性的非小细胞肺癌患者带来免疫治疗的惊喜。耐药后的治疗模式该走向何方,是PD-1/PD-L1联合抗血管靶向治疗及化疗的四药模式,还是VEGF/PD-1结合的特异性抗体与化疗的三药联合,或是抗体偶联药物的挑战,期待新的临床数据为患者提供更加有效的治疗策略。对于上述病例的耐药后的基因状态我们也会持续关注,耐药后病理组织的基因检测,更有助于多维度解析耐药机制。
 
参考文献
 
1.Takahashi,M.,J.Ritz,and G.M.Cooper,Activation of a novel human transforming gene,ret,by DNA rearrangement.Cell,1985.42(2):p.581-8.https://doi.org/10.1016/0092-8674(85)90115-1
 
2.Lipson,D.,M.Capelletti,R.Yelensky,G.Otto,A.Parker,M.Jarosz,J.A.Curran,S.Balasubramanian,T.Bloom,K.W.Brennan,A.Donahue,S.R.Downing,G.M.Frampton,L.Garcia,F.Juhn,K.C.Mitchell,E.White,J.White,Z.Zwirko,T.Peretz,H.Nechushtan,L.Soussan-Gutman,J.Kim,H.Sasaki,H.R.Kim,S.I.Park,D.Ercan,C.E.Sheehan,J.S.Ross,M.T.Cronin,P.A.J?nne,and P.J.Stephens,Identification of new ALK and RET gene fusions from colorectal and lung cancer biopsies.Nat Med,2012.18(3):p.382-4.https://doi.org/10.1038/nm.2673
 
3.Hess,L.M.,Y.Han,Y.E.Zhu,N.R.Bhandari,and A.Sireci,Characteristics and outcomes of patients with RET-fusion positive non-small lung cancer in real-world practice in the United States.BMC Cancer,2021.21(1):p.28.https://doi.org/10.1186/s12885-020-07714-3
 
4.Offin,M.,R.Guo,S.L.Wu,J.Sabari,J.D.Land,A.Ni,J.Montecalvo,D.F.Halpenny,L.W.Buie,T.Pak,D.Liu,G.J.Riely,M.D.Hellmann,R.Benayed,M.Arcila,M.G.Kris,C.M.Rudin,B.T.Li,M.Ladanyi,N.Rekhtman,and A.Drilon,Immunophenotype and Response to Immunotherapy of RET-Rearranged Lung Cancers.JCO Precis Oncol,2019.3.https://doi.org/10.1200/po.18.00386
 
5.Dantoing,E.,N.Piton,M.Salaün,L.Thiberville,and F.Guisier,Anti-PD1/PD-L1 Immunotherapy for Non-Small Cell Lung Cancer with Actionable Oncogenic Driver Mutations.Int J Mol Sci,2021.22(12).https://doi.org/10.3390/ijms22126288
 
6.Gainor,J.F.,G.Curigliano,D.W.Kim,D.H.Lee,B.Besse,C.S.Baik,R.C.Doebele,P.A.Cassier,G.Lopes,D.S.W.Tan,E.Garralda,L.G.Paz-Ares,B.C.Cho,S.M.Gadgeel,M.Thomas,S.V.Liu,M.H.Taylor,A.S.Mansfield,V.W.Zhu,C.Clifford,H.Zhang,M.Palmer,J.Green,C.D.Turner,and V.Subbiah,Pralsetinib for RET fusion-positive non-small-cell lung cancer(ARROW):a multi-cohort,open-label,phase 1/2 study.Lancet Oncol,2021.22(7):p.959-969.https://doi.org/10.1016/s1470-2045(21)00247-3
 
7.Zhou,C.,B.Solomon,H.H.Loong,K.Park,M.Pérol,E.Arriola,S.Novello,B.Han,J.Zhou,A.Ardizzoni,M.P.Mak,F.C.Santini,Y.Y.Elamin,A.Drilon,J.Wolf,N.Payakachat,M.K.Uh,D.Rajakumar,H.Han,T.Puri,V.Soldatenkova,A.B.Lin,B.K.Lin,and K.Goto,First-Line Selpercatinib or Chemotherapy and Pembrolizumab in RET Fusion-Positive NSCLC.N Engl J Med,2023.389(20):p.1839-1850.https://doi.org/10.1056/NEJMoa2309457
 
8.Subbiah,V.,J.F.Gainor,R.Rahal,J.D.Brubaker,J.L.Kim,M.Maynard,W.Hu,Q.Cao,M.P.Sheets,D.Wilson,K.J.Wilson,L.DiPietro,P.Fleming,M.Palmer,M.I.Hu,L.Wirth,M.S.Brose,S.I.Ou,M.Taylor,E.Garralda,S.Miller,B.Wolf,C.Lengauer,T.Guzi,and E.K.Evans,Precision Targeted Therapy with BLU-667 for RET-Driven Cancers.Cancer Discov,2018.8(7):p.836-849.https://doi.org/10.1158/2159-8290.Cd-18-0338
 
9.Subbiah,V.,V.Velcheti,B.B.Tuch,K.Ebata,N.L.Busaidy,M.E.Cabanillas,L.J.Wirth,S.Stock,S.Smith,V.Lauriault,S.Corsi-Travali,D.Henry,M.Burkard,R.Hamor,K.Bouhana,S.Winski,R.D.Wallace,D.Hartley,S.Rhodes,M.Reddy,B.J.Brandhuber,S.Andrews,S.M.Rothenberg,and A.Drilon,Selective RET kinase inhibition for patients with RET-altered cancers.Ann Oncol,2018.29(8):p.1869-1876.https://doi.org/10.1093/annonc/mdy137
 
10.Bentzien,F.,M.Zuzow,N.Heald,A.Gibson,Y.Shi,L.Goon,P.Yu,S.Engst,W.Zhang,D.Huang,L.Zhao,V.Vysotskaia,F.Chu,R.Bautista,B.Cancilla,P.Lamb,A.H.Joly,and F.M.Yakes,In vitro and in vivo activity of cabozantinib(XL184),an inhibitor of RET,MET,and VEGFR2,in a model of medullary thyroid cancer.Thyroid,2013.23(12):p.1569-77.https://doi.org/10.1089/thy.2013.0137
 
11.Andrews SW,A.S.,Blake JF,Brandhuber BJ,Cook A,et al,Substituted pyrazol[1,5-A]pyridine compounds as RET kinase inhibitors.19 April 2018(WO2018/071447 A1 2017).
 
12.Shen T,T.S.,Liu X,Mooers BHM,Wu J.,Structural insight into sensitivity and resistance of RET mutants to selpercatinib(LOXO-292).Sixth AACR-IASLC International Joint Conference:Lung Cancer Translational Science from the Bench to the Clinic 2020;Abstract:B18,2020.
 
13.Solomon,B.J.,L.Tan,J.J.Lin,S.Q.Wong,S.Hollizeck,K.Ebata,B.B.Tuch,S.Yoda,J.F.Gainor,L.V.Sequist,G.R.Oxnard,O.Gautschi,A.Drilon,V.Subbiah,C.Khoo,E.Y.Zhu,M.Nguyen,D.Henry,K.R.Condroski,G.R.Kolakowski,E.Gomez,J.Ballard,A.T.Metcalf,J.F.Blake,S.J.Dawson,W.Blosser,L.F.Stancato,B.J.Brandhuber,S.Andrews,B.G.Robinson,and S.M.Rothenberg,RET Solvent Front Mutations Mediate Acquired?Resistance to Selective RET Inhibition in?RET-Driven Malignancies.J Thorac Oncol,2020.15(4):p.541-549.https://doi.org/10.1016/j.jtho.2020.01.006
 
14.Chen,Y.,Z.Chen,R.Chen,C.Fang,C.Zhang,M.Ji,and X.Yang,Immunotherapy-based combination strategies for treatment of EGFR-TKI-resistant non-small-cell lung cancer.Future Oncol,2022.18(14):p.1757-1775.https://doi.org/10.2217/fon-2021-0862
 
15.Lin,P.L.,T.C.Wu,D.W.Wu,L.Wang,C.Y.Chen,and H.Lee,An increase in BAG-1 by PD-L1 confers resistance to tyrosine kinase inhibitor in non-small cell lung cancer via persistent activation of ERK signalling.Eur J Cancer,2017.85:p.95-105.https://doi.org/10.1016/j.ejca.2017.07.025
 
16.Zhang,Y.,Y.Zeng,T.Liu,W.Du,J.Zhu,Z.Liu,and J.A.Huang,The canonical TGF-β/Smad signalling pathway is involved in PD-L1-induced primary resistance to EGFR-TKIs in EGFR-mutant non-small-cell lung cancer.Respir Res,2019.20(1):p.164.https://doi.org/10.1186/s12931-019-1137-4
 
17.Hegde,A.,A.Y.Andreev-Drakhlin,J.Roszik,L.Huang,S.Liu,K.Hess,M.Cabanillas,M.I.Hu,N.L.Busaidy,S.I.Sherman,R.Dadu,E.G.Grubbs,S.M.Ali,J.Lee,Y.Y.Elamin,G.R.Simon,G.R.Blumenschein,Jr.,V.A.Papadimitrakopoulou,D.Hong,F.Meric-Bernstam,J.Heymach,and V.Subbiah,Responsiveness to immune checkpoint inhibitors versus other systemic therapies in RET-aberrant malignancies.ESMO Open,2020.5(5):p.e000799.https://doi.org/10.1136/esmoopen-2020-000799
 
18.Calles,A.,J.W.Riess,and J.R.Brahmer,Checkpoint Blockade in Lung Cancer With Driver Mutation:Choose the Road Wisely.Am Soc Clin Oncol Educ Book,2020.40:p.372-384.https://doi.org/10.1200/edbk_280795
 
19.Dudnik,E.,E.Bshara,A.Grubstein,L.Fridel,T.Shochat,L.C.Roisman,M.Ilouze,A.B.Rozenblum,S.Geva,A.Zer,O.Rotem,A.M.Allen,and N.Peled,Rare targetable drivers(RTDs)in non-small cell lung cancer(NSCLC):Outcomes with immune check-point inhibitors(ICPi).Lung Cancer,2018.124:p.117-124.https://doi.org/10.1016/j.lungcan.2018.07.044
 
20.Schoenfeld,A.J.,H.Rizvi,C.Bandlamudi,J.L.Sauter,W.D.Travis,N.Rekhtman,A.J.Plodkowski,R.Perez-Johnston,P.Sawan,A.Beras,J.V.Egger,M.Ladanyi,K.C.Arbour,C.M.Rudin,G.J.Riely,B.S.Taylor,M.T.A.Donoghue,and M.D.Hellmann,Clinical and molecular correlates of PD-L1 expression in patients with lung adenocarcinomas.Ann Oncol,2020.31(5):p.599-608.https://doi.org/10.1016/j.annonc.2020.01.065
 
21.Negrao,M.V.,F.Skoulidis,M.Montesion,K.Schulze,I.Bara,V.Shen,H.Xu,S.Hu,D.Sui,Y.Y.Elamin,X.Le,M.E.Goldberg,K.Murugesan,C.J.Wu,J.Zhang,D.S.Barreto,J.P.Robichaux,A.Reuben,T.Cascone,C.M.Gay,K.G.Mitchell,L.Hong,W.Rinsurongkawong,J.A.Roth,S.G.Swisher,J.Lee,A.Tsao,V.Papadimitrakopoulou,D.L.Gibbons,B.S.Glisson,G.Singal,V.A.Miller,B.Alexander,G.Frampton,L.A.Albacker,D.Shames,J.Zhang,and J.V.Heymach,Oncogene-specific differences in tumor mutational burden,PD-L1 expression,and outcomes from immunotherapy in non-small cell lung cancer.J Immunother Cancer,2021.9(8).https://doi.org/10.1136/jitc-2021-002891

本内容仅供医学专业人士参考


肺腺癌

分享到: 更多